Ниже
представлены КТ-срезы и их схемы, которые необходимо использовать в качестве
эталонов при проведении сравнительного анализа органов брюшной полости (варианты строения).
Названия
анатомических структур:
У некоторых людей край правой
доли печени (122) выглядит фестончатым из-за вдавлений диафрагмы (30), которые
не следует принимать за патологические образования печени (фото 1). Стенки
незаполненного желудка (129) толстые и напоминают злокачественное
новообразование (129а).
1. Кожа.
2. Жировая
клетчатка.
3. Артефакты.
4. Воздух/газ.
5. Фасция,
перегородка, соединительная ткань.
6. Лимфоузел
(ЛУ).
7. Опухоль,
метастаз.
8. Выпот,
кровоизлияние.
9. Трабекулы
(кости).
10.
Грудиноключичнососцевидная мышца.
11.
Грудиноподъязычная/грудинощитовидная мышца.
12. Лестничная
мышца.
13.
Дельтовидная мышца.
14. Широчайшая
мышца спины.
15. Большая
круглая мышца.
16. Малая
круглая мышца.
17. Мышца,
поднимающая лопатку.
18.
Подлопаточная мышца.
19. Надостная
мышца.
20. Подостная
мышца.
21. Ромбовидная
мышца.
22. Мышца,
выпрямляющая позвоночник.
23.
Трапециевидная мышца.
24. Передняя
зубчатая мышца.
25. Межреберные
мышцы.
26. Грудные
мышцы: большая (а), малая (b).
27.
Подключичная мышца.
28. Мышцы
брюшной стенки: наружная косая (а), внутренняя косая (b), поперечная (c).
29. Прямая
мышца живота.
30. Диафрагма.
31.
Повздошно-поясничная, поясничная (a), повздошная (b) мышцы.
32. Поперечная
грудная мышца.
33. Квадратная
мышца поясницы.
34. Задняя
зубчатая мышца (верхняя и нижняя).
35. Внутренняя
(a), большая (b) и малая (c) ягодичные мышцы.
36. Грушевидная
мышца.
37. Гребешковая
мышца.
38. Портняжная
мышца.
39.
Четырехглавая мышца бедра: прямая мышца бедра (а), наружная (а), промежуточная
(b) и внутренняя (c) широкие мышцы.
40.
Мышца-напрягатель широкой фасции.
41. Внутренняя
(а) и наружная (b)
запирательные мышцы.
42. Мышца,
поднимающая задний проход.
43.
Мышцы-близнецы.
44. Длинная
(а), короткая (b),
малая (с) и большая (d) приводящие мышцы.
45. Квадратная
мышца бедра, двуглавая мышца бедра (а).
46.
Седалищно-кавернозная мышца.
47. Белая
линия.
48. Фасция
ягодицы.
49. Фасция
поясницы.
50. Тела
позвонков: атланта (а), зуба аксиса (b), остистый отросток (с), суставной отросток (d), межпозвоночный диск (е), поперечный
отросток (f).
51. Ребро.
52. Ключица.
53. Лопатка:
акромион (а), гребень лопатки (b), клювовидный отросток (с), суставная впадина (d).
54. Позвоночный
канал со спинным мозгом.
55. Головка
плечевой кости.
56. Грудина.
57. Мечевидный
отросток.
58. Повздошная
кость.
59. Лонная
кость: тело (а), верхняя (b) и нижняя (с) ветвь.
60. Вертлужная
впадина.
61. Седалищная
кость: тело (а), бугристость (b), ветви (с).
62. Крестец.
63. Копчик.
64. Остеофит.
65. Грыжа
Шморля.
66. Бедренная
кость: головка (а), большой (b) и малый (с) вертеп.
67.
Седалищно-крестцовая (крестцово-бугристая) связка.
68. Межкостная
(крестцовоостистая) связка.
69. Утолщенная
полоска широкой фасции бедра.
70. Передняя
продольная связка.
71. Пупок.
72. Молочная
железа.
73. Сосок.
74. Сердце:
правое предсердие (а), желудочек (b), левое предсердие (с), желудочек (d).
75.
Межжелудочковая перегородка.
76. Коронарный
синус.
77. Коронарные
артерии.
78. Перикард.
79. Эпикард.
80. Нижняя
полая вена.
81. Трахея:
бифуркация (а), бронхи (b).
82. Пищевод.
83. Щитовидная железа.
84. Легкое.
85. Общая
сонная артерия, внутренняя (а), наружная (b).
86. Яремная
вена, внутренняя (а), наружная (b), передняя (с).
87.
Подключичная артерия / вена; Плечевое сплетение.
88.
Плечеголовной ствол.
89. Аорта:
восходящая (а), дуга (b), нисходящая (с).
90. Легочной
ствол: правая (а), левая (b) легочные артерии.
91.
Плечеголовная вена.
92. Верхняя
полая вена.
93. Подмышечные
артерия и вена.
94. Внутренние
грудные и надчревные сосуды.
95. Наружные
грудные сосуды.
96. Сосуды
легких.
97. Чревный
ствол.
98. Печеночная
артерия.
99.
Селезеночная артерия.
100.
Селезеночная вена.
101.. Слияние
воротных венозных стволов.
102. Воротная
вена.
103. Почечные
вены.
104. Непарная
вена.
105.
Полунепарная вена, дополнительная (а).
106. Верхняя
брыжеечная артерия.
107. Верхняя
брыжеечная вена.
108. Кишечные
ветви.
109. Сосуды
желудка.
110. Почечная
артерия.
111. Почечная
вена.
112. Верхние
надчревные сосуды.
113. Общая
повздошная артерия.
114. Внутренняя
повздошная артерия.
115. Наружная
повздошная артерия.
116. Общая
повздошная вена.
117. Внутренняя
повздошная вена.
118. Наружная
повздошная вена.
119. Бедренная
артерия.
120. Бедренная
вена.
121. Поясничные
сосуды.
122. Печень.
123. Хвостатая
доля.
124.
Серповидная связка печени.
125. Круглая
связка печени.
126. Желчный
пузырь.
127. Желчный
проток.
128. Пузырный
проток.
129. Желудок,
стенка желудка (а).
130.
Двенадцатиперстная кишка.
131.
Поджелудочная железа.
132. Проток
поджелудочной железы.
133. Селезенка.
134.
Надпочечник.
135. Паренхима
почки.
136. Лоханка
почки.
137.
Мочеточник.
138. Мочевой
пузырь.
139.
Мочеиспускательный канал.
140. Тощая /
повздошная кишка.
141. Слепая
кишка.
142. Восходящая
ободочная кишка.
143. Поперечная
ободочная кишка.
144. Нисходящая
ободочная кишка.
145.
Сигмовидная кишка.
146. Прямая
кишка.
147. Фекалии.
148. Корень
брыжейки.
149. Полулунные
складки толстой кишки.
150.
Циркулярные складки.
151. Баугиниева
заслонка.
152. Стенка
толстой кишки.
153.
Предстательная железа.
154. Семенные
пузырьки.
155. Семенной
канатик.
156. Кавернозные
тела полового члена.
157. Луковица
полового члена с мочеиспускательным каналом.
158. Матка.
159. Яичники.
160. Влагалище,
шейка матки.
161.
Запирательный нерв, артерия и вена.
162. Седалищный
нерв, ягодичные артерия и вена.
163.
Позвоночный нерв.
164. Шейное
сплетение.
165. Плечевое
сплетение.
166. Инородное
тело.
167. Конкремент
(камень).
168.
Дивертикул.
169. Киста.
170. Колостома.
171. Аневризма.
172.
Отслаивающийся лоскут.
173. Тромб.
174.
Обызвествление / бляшка.
175.
Синовиальная киста / Лимфоцеле.
176. Булла.
177. Грыжа.
178. Ателектаз /
Воспалительная инфильтрация.
179. Фистула
(соустье).
180. Зона
инфаркта.
181. Абсцесс / Зона
расплавления ткани.
182. Катетер,
дренаж, зонд, стенд.
183.
Металлическая клипса.
184. Грудной
проток.
185. Отек.
186. Рубцовая
ткань / Рубец.
187. Линия
перелома / Место разрыва ткани.
188. Сухожилие
двуглавой мышцы плеча.
Фото 1.
Обычно
левая почечная вена проходит между верхней брыжеечной артерией (106) и аортой
(89). Однако эта вена может располагаться позади аорты и направляться к нижней
полой вене (80) между аортой и позвоночником (50) (фото 2-4). Также нередко
встречается удвоение левой почечной вены, когда одна ветвь проходит перед
аортой, а другая за аортой.
Фото 2.
Фото 3.
Фото 4.
Проявления
эффекта частного объема.
Если стенка
одного органа вдавливатся в другой, на изображении в поперечном сечении это
выглядит, как будто один орган расположен внутри другого. Например, сигмовидная
кишка (145) может появиться «внутри» мочевого пузыря (168) (фото 5а).
Сопоставление соседних срезов (фото 5а и с) показывает, что на изображении
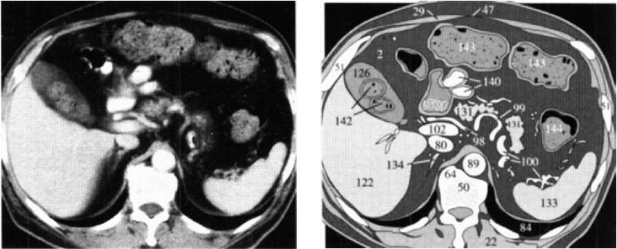
представлены только части этих органов. Похожая картина возникает, когда правый
изгиб (печеночный угол) толстой кишки (142) определяется «внутри» желчного пузыря
(126) (фото 6).
Фото 5.
Фото 6.
Литература
Хофер М. Компьютерная томография. Базовое руководство. 2008.






Комментариев нет:
Отправить комментарий